Mục tiêu giúp trẻ em phát triển hài hoàn khuôn mặt, hình thành nụ cười khoẻ đẹp và tự tin
Trì hoãn chỉnh nha khiến lệch lạc nặng hơn, bé khó nhai-phát âm, dễ ê buốt và tự ti, có thể dẫn đến việc khó điều trị và chi phí cao - Đặt lịch để được chuyên gia đánh giá miễn phí !
Chúng tôi cung cấp đầy đủ dịch vụ nha khoa cho mọi lứa tuổi, với thế mạnh nổi bật về chỉnh nha trẻ em.




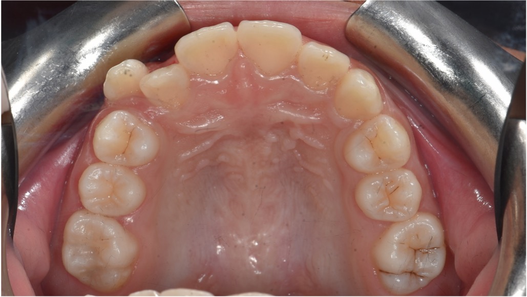
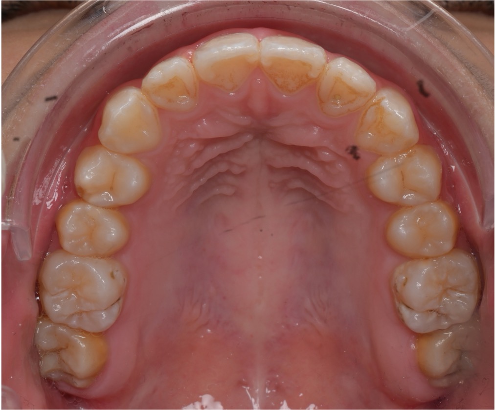
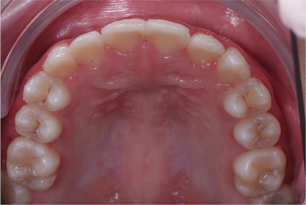
Con tôi có khớp cắn ngược khá nặng, rất khó ăn nhai. Tôi đã cho con đi thăm khám với Bs Hằng lúc con 13 tuổi và may mắn được biết đây là giai đoạn vàng để điều trị. Việc điều trị của con được chia thành 2 giai đoạn và kết thúc vỏn vẹn trong vòng 20 tháng. Nhưng nếu để thêm vài năm, việc này có thể sẽ không chỉ trong 20 tháng và còn có thể khó thực hiện. Rất khuyến khích ba mẹ đưa con đi thăm khám sớm nhé.
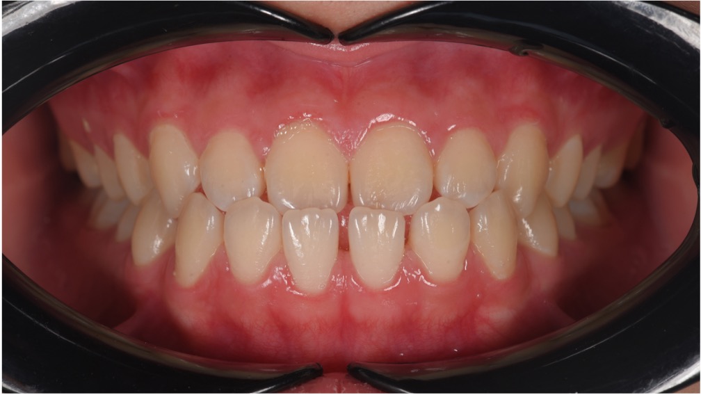
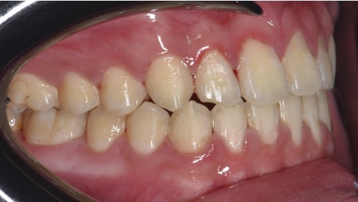
Bé con nói thấy răng nhô ra phía trước, không đều nên bé không dám cười thoải mái do thiếu tự tin. Chỉ với 18 tháng điều trị bằng mắc cài sứ cùng bác sĩ Hằng, răng trước của con đã không còn nhô ra nữa, còn hàm răng thì đều đặn. Bé giờ tự tin cười và nói chuyện với bạn bè. Chứng kiến sự thay đổi và phát triển hài hòa khuôn mặt của con, tôi thấy rất hài lòng và hạnh phúc
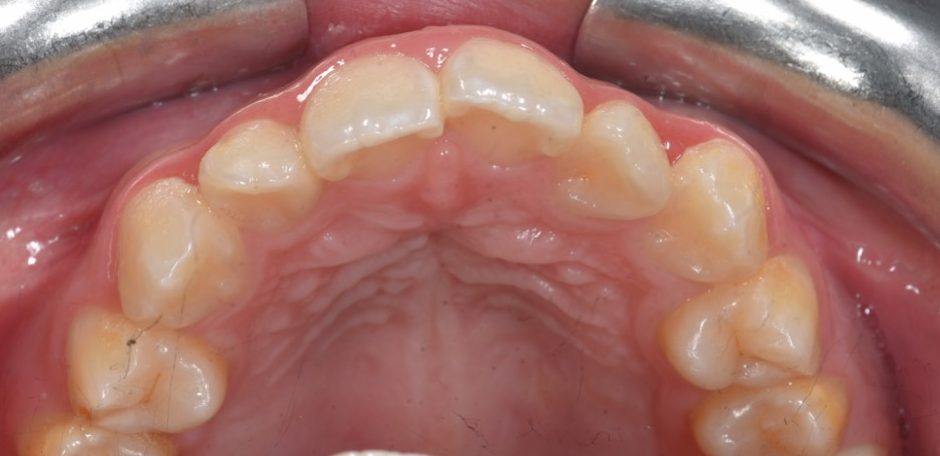
Hồi giờ cứ nghĩ răng khểnh là đáng yêu nên khi thấy con gái có răng khểnh thì thấy vui vui. Cho tới khi một chị bạn sống ở nước ngoài chia sẻ đây là một dạng sai lệch nên điều trị thì tôi mới tìm hiểu cũng như cho bé đi khám và điều trị với BS. Hằng. Mặc dù không có răng khểnh nhưng tôi lại thấy khuôn mặt của con mình cân đối hơn sau 2 năm. Và quan trọng lại đảm bảo sức khỏe ăn nhai theo khuyến cáo của chuyên gia.
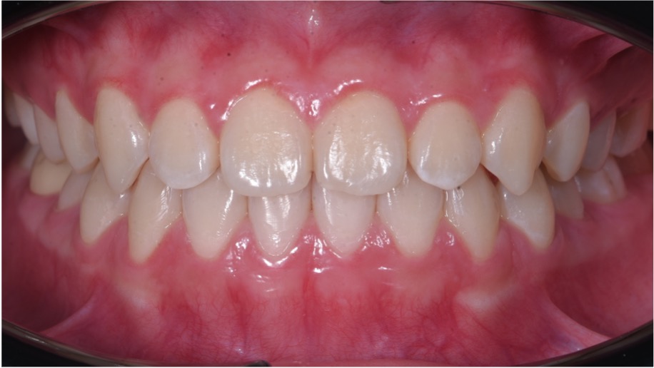
Răng mình bị thưa và lùi vô trong. Ăn nhai khó và khá tự ti vì cười không đẹp. Mình ở Tiền Giang và niềng răng là điều trị lâu dài nên mình cũng khá lăn tăn. Lúc lên Sài Gòn học đại học, mình quyết tâm điều trị và may mắn được đồng hành với BS. Hằng. Thật không uổng phí thời gian và công sức, mình rất ưng ý với hàm răng hiện tại.